特徴
二日(宿泊)ドック限定のオプション検査として、「全大腸内視鏡検査」「脳ドック」「内臓脂肪量測定CT検査」などの精密検査を提供しています。
また、健診二日目の内科診察時には、医師から健診結果についての詳しい説明があります。
「からだも心も、ひとやすみ。宿泊ドックで、静かな健康時間を。」
当院は、院内にビジネスホテル並みのお部屋をご用意しています。検査後の移動は不要です。
廊下つきあたりにある窓からはドクターヘリの離発着の様子がご覧いただけます。


オプション検査
全大腸内視鏡検査

肛門から内視鏡を挿入し、全大腸内部を詳しく観察する検査です。主に大腸がんや大腸ポリープの発見に役立ちます。
大腸がんは近年増加傾向にあります。早期発見のため、全大腸内視鏡検査をお勧めします。
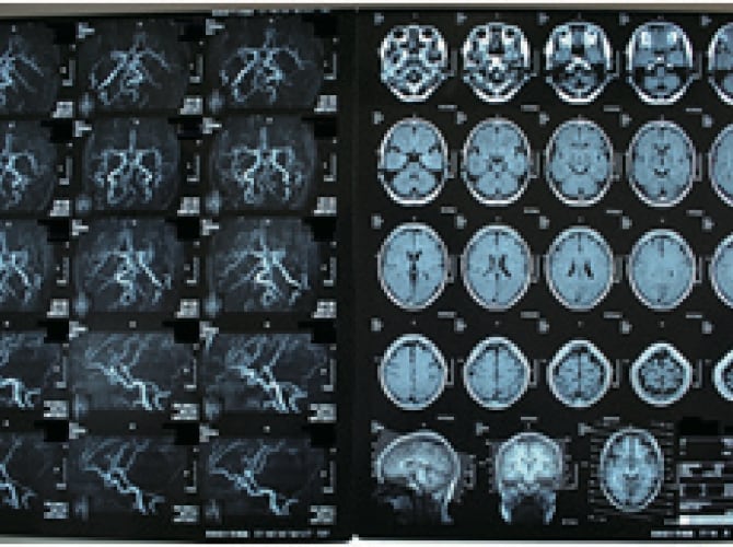
脳ドック
頭部MRI検査、頭頸部MRA検査、頸動脈超音波検査を行います。
脳梗塞、脳動脈瘤や脳腫瘍などの頭蓋内異常が発見されたり、動脈硬化や動脈狭窄などが明らかになります。
脳ドックを選択された場合、同時に認知症の簡易検査を受けることができます。


血圧脈波検査
四肢の血圧を測定し、脈波を記録します。検査時間は5分程度で、痛みもありません。動脈硬化の程度、血管年齢、心臓や血管系の健康リスクがわかります。
内臓脂肪量測定CT検査
皮下脂肪の厚みや腹腔内脂肪をCT検査で調べます。内臓脂肪蓄積は高血圧・高脂血症・糖尿病などの生活習慣病を引き起こし、心筋梗塞や脳血管障害のリスクが高くなります。
日課表
施設、食事、アメニティのご案内
二日(宿泊)ドック専用控室



専用の控室で検査の順番をお待ちいただけます。
控室には無料のドリンクサーバーや各種アメニティをご用意しています。
夕食のご案内


夕食は魚料理と肉料理を選択でき、季節ごとにメニューが変わります。
秋のメニューでは鮭や里芋などの秋の味覚が楽しめます。
女性用、男性用のアメニティ




